
Bolivia imputa a dos jesuitas por encubrir a un sacerdote español que abusó de más de 80 menores
La Fiscalía Departamental de Cochabamba, en el centro de Bolivia, imputó a dos antiguos superiores de la Compañía de Jesús por encubrir durante

La Fiscalía Departamental de Cochabamba, en el centro de Bolivia, imputó a dos antiguos superiores de la Compañía de Jesús por encubrir durante

Menos de dos semanas antes de que finalice el estado de excepción en Ecuador, que implica la presencia de policías y militares

El canal de televisión infantil Nickelodeon empleó o colaboró con cinco hombres acusados de abusar de menores de edad, así como otros

La pobreza en Argentina aumentó en el segundo semestre del 2023 hasta abarcar el 41,7 % de la población, lo

El Gobierno de Colombia ordenó este miércoles expulsar a diplomáticos de la Embajada de Argentina en Bogotá, luego de unas

El Servicio de Rentas Internas (SRI) de Ecuador publicó este miércoles en su cuenta de X un recordatorio para las sociedades residentes fiscales

El exfutbolista brasileño Dani Alves celebró una gran fiesta el día siguiente de salir de la cárcel después de pasar

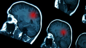
El uso prolongado de ciertos progestágenos, fármacos hormonales que se usan para tratar trastornos ginecológicos, se asocia a un mayor

El gobierno de Nicaragua, presidido por el comandante Daniel Ortega Saavedra, presidente de la República y Rosario Murillo Zambrana, vicepresidenta

La falta de agua y las altas temperaturas, al parecer es lo que está provocando la muerte de monos congos

El número de cuerpos identificados tras el atentado en la sala de conciertos Crocus City Hall, en la provincia de

Un equipo internacional de científicos encontró que el consumo de aceites de cocina reutilizados podría aumentar el riesgo de demencia,