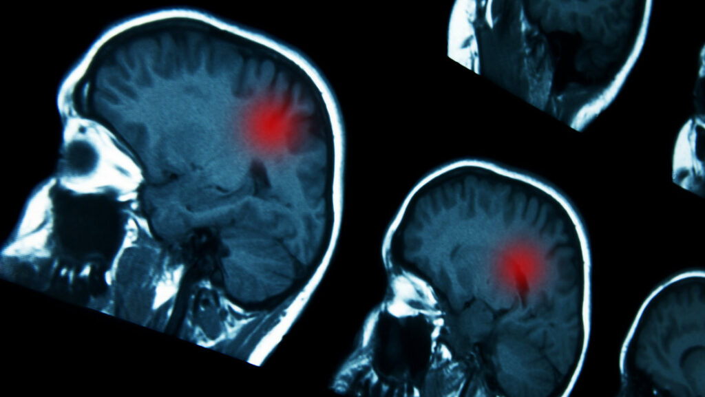
El uso prolongado de ciertos progestágenos, fármacos hormonales que se usan para tratar trastornos ginecológicos, se asocia a un mayor riesgo de desarrollar un tipo de tumor cerebral conocido como meningioma intracraneal, según un estudio publicado este miércoles en la revista médica The BMJ.
Para llevar a cabo la investigación, los científicos utilizaron información del sistema nacional de datos de salud francés de 18.061 mujeres con una edad media de 58 años que se sometieron a cirugía de meningioma intracraneal entre 2009 y 2018.
Así, se concluyó que el uso prolongado (un año o más) de medrogestona se asoció a un riesgo 4,1 veces mayor de padecer meningioma intracraneal que requiriera cirugía, mientras que el uso prolongado de acetato de medroxiprogesterona inyectable se asoció a un riesgo 5,6 veces más alto, y el uso prolongado de promegestona se relacionó con un riesgo 2,7 veces mayor. Sin embargo, no parece existir tal amenaza si estos progestágenos se utilizan por menos de un año.
Los investigadores señalaron que su estudio es el primero que evalúa el peligro asociado con los progestágenos utilizados por millones de mujeres en todo el mundo, y que se necesitan de manera urgente más estudios para comprender mejor este riesgo.