
Los Clinton más cerca de ser declarados en desacato tras negarse a comparecer en el caso Epstein
El Comité de Supervisión de la Cámara de Representantes de Estados Unidos votó este miércoles a favor de avanzar hacia una declaración

El Comité de Supervisión de la Cámara de Representantes de Estados Unidos votó este miércoles a favor de avanzar hacia una declaración

Meteorólogos estadounidenses pronostican que para finales de esta semana, buena parte del territorio continental de EEUU experimentará una gran ola

Los agentes del Servicio de Inmigración y Control de Aduanas (ICE) de EEUU están autorizados por sus superiores a entrar por

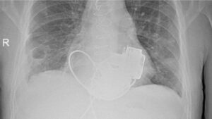
Por primera vez, en Rusia se implantaron de manera simultánea dos ventrículos cardíacos artificiales —izquierdo y derecho— a un paciente de

En medio de las tensiones entre el primer ministro británico, Keir Starmer, y Donald Trump a raíz de las pretensiones del mandatario