Por primera vez, en Rusia se implantaron de manera simultánea dos ventrículos cardíacos artificiales —izquierdo y derecho— a un paciente de 36 años que llegó a estar sin pulso, lo que marca un hito en la historia de la medicina del país, informó recientemente el Comité de Salud de San Petersburgo.
El paciente, identificado únicamente como Antón, ingresó hace tres meses al Hospital Mariinsky, de esa ciudad, con un cuadro crítico de miocardiopatía e insuficiencia cardíaca terminal. De acuerdo con el Comité de Salud, su función cardíaca era prácticamente inexistente, en un estado que los médicos describieron “como si estuviera muerto”.
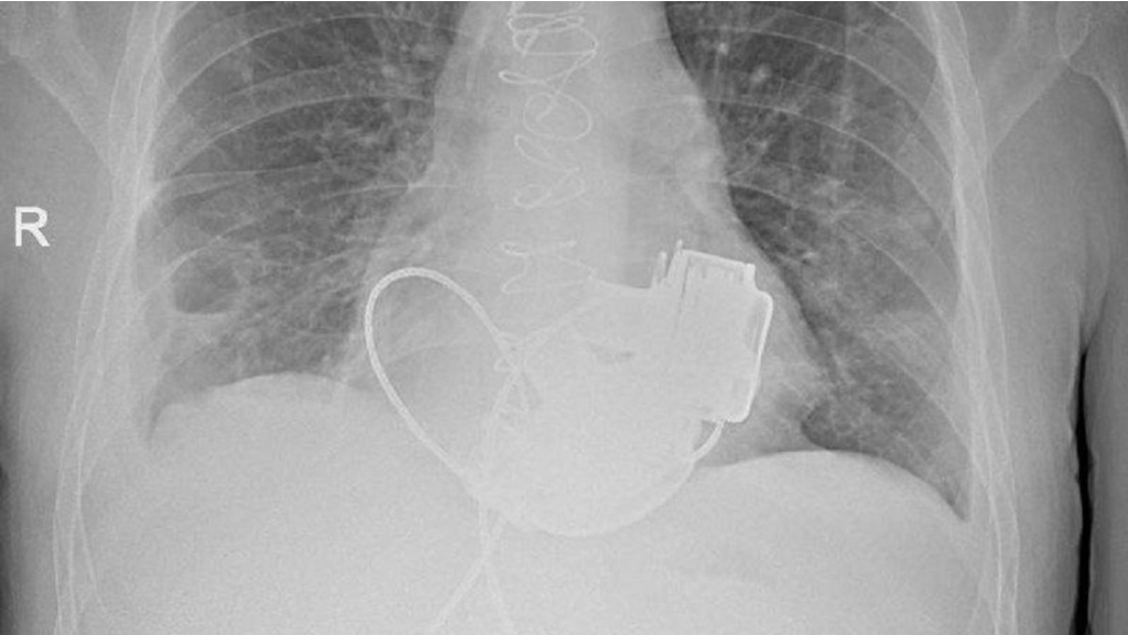
Diversas complicaciones graves impidieron un trasplante de corazón inmediato, lo que llevó al equipo médico del hospital a optar por una solución excepcional: implantar dos dispositivos de asistencia ventricular. La colocación de los aparatos, que reemplazan la función de los ventrículos dañados del corazón para bombear sangre al cuerpo, fue realizada en noviembre del año pasado.

Gennady Khubulava, cirujano cardiovascular jefe del Comité de Salud de San Petersburgo, detalló que la cirugía duró unas cuatro horas y el principal desafío fue lograr la sincronización de ambos ventrículos artificiales. Asimismo, afirmó que el éxito del procedimiento es una evidencia del alto nivel de desarrollo de la cirugía cardíaca en la ciudad.
A la espera de un trasplante
Aunque el período postoperatorio fue complejo, Antón se encuentra estable y listo para regresar a su hogar, tras aprender a vivir con ambos dispositivos. Las autoridades sanitarias indicaron que se tiene previsto que vuelva pronto al hospital para recibir un trasplante de corazón, ya que los ventrículos artificiales actúan como un “puente” vital para permitirle sobrevivir hasta la cirugía definitiva. Según medios locales, Antón fue dado de alta este miércoles.